Do You Have a Tooth Gap?
Expertly crafted dental implants match natural teeth perfectly - for a beautiful smile.
YOUR GREAT SMILE CAN BE RESTORED
- Smile confidently again knowing your smile looks beautiful.
- Closes tooth gaps with a beautiful tooth that functions naturally and matches teeth perfectly.
- Created from highly durable titanium and porcelain for strength and durability.
Our team includes highly trained dentists who will take the time and attention to listen to your needs.
Get Pricing and More Information
HIGH QUALITY DENTAL CARE

Highly Trained Dentists
Our team of dentists will provide you with realistic low-maintenance solutions and an individual treatment plan.

Full Consultation
We will begin with a full consultation, which will enable us to identify your needs and any existing problems.

Best Technology & Materials
Your dental implant will be custom-made using the latest techniques and highest quality materials for a long-lasting implant.

Explained in Detail
Each option will be explained in detail to ensure a full understanding of the benefits.

New Patients Welcome
Our dental services are open to new patients. We will provide you with the close attention you deserve.

Long-Lasting Oral Health
An attractive, healthy smile is built on a preventative approach which leads to long-lasting oral health.

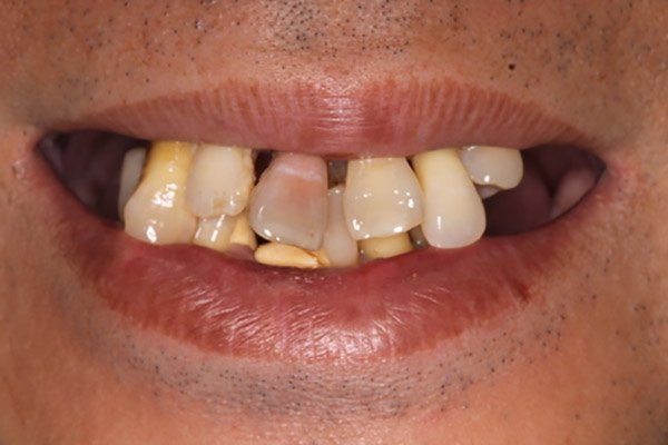
Before
Initial dental condition before any restorative or cosmetic work was completed.

After
The patient’s smile following completion of treatment, showing a natural, restored result.
KALYANI DENTAL LOUNGE
- Smile confidently again knowing your smile looks beautiful.
- Closes tooth gaps with a beautiful tooth that functions naturally and matches teeth perfectly.
- Created from highly durable titanium and porcelain for strength and durability.
Painless and comfortable treatments. Our unique treatment experience is completely redefined with your comfort, ease and happiness in mind.





